Szórakozás
Búcsú
Disznóvágás
Piac
Család
Koncert
Naptár
Kajak-kenu
Börze
Anyák napja
Kiállítás
Vacsora
Fesztivál
Bál
Tábor
Vásár
Futás
Állatok
Hagyományőrzés
Találkozó
Expo
Buli
Masszázs
Egészség
Sport
Lovagi torna
Hangverseny
Kóstoló
Jeles nap
Előadás
Mozi
Szabadidő
Napközis tábor
Nyílt nap
Juniális
Tűzijáték
Piknik
Gyereknap
Emlék
Érzékenyítés
Kajak
Hotel
Szórakozóhely
Gokart
Élmény
Városnézés
Grill
Meditáció
Gyógynövény
Mustra

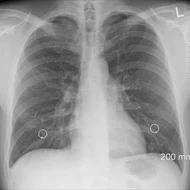
Március 23-án van A tuberkulózis (tbc) elleni küzdelem világnapja. A tuberkulózis más - néven gümőkor, tüdőbaj – egy baktérium által okozott megbetegedés, mely Magyarországon a védőoltásnak köszönhetően már csak ritkán fordul elő. A betegség megelőzhető és gyógyítható, azonban elhanyagolása halálhoz is vezet.
Március 23-án van A tuberkulózis (tbc) elleni küzdelem világnapja. A tuberkulózis más - néven gümőkor, tüdőbaj – egy baktérium által okozott megbetegedés, mely Magyarországon a védőoltásnak köszönhetően már csak ritkán fordul elő. A betegség megelőzhető és gyógyítható, azonban elhanyagolása halálhoz is vezet.

Március 23-án van A tuberkulózis (tbc) elleni küzdelem világnapja. A tuberkulózis más - néven gümőkor, tüdőbaj – egy baktérium által okozott megbetegedés, mely Magyarországon a védőoltásnak köszönhetően már csak ritkán fordul elő. A betegség megelőzhető és gyógyítható, azonban elhanyagolása halálhoz is vezet.

Lech Kaczynski lengyel és Sólyom László magyar elnök 2006. március 24-én aláírták a Győri nyilatkozatot, valamint felavatták a lengyel-magyar barátság első köztéri emlékművét. A magyar Országgyűlés 2007. március 12-én, a lengyel Szejm március 16-án nyilvánította határozatban ünnepnapnak március 23-át, a lengyel-magyar barátság napját.
Lech Kaczynski lengyel és Sólyom László magyar elnök 2006. március 24-én aláírták a Győri nyilatkozatot, valamint felavatták a lengyel-magyar barátság első köztéri emlékművét. A magyar Országgyűlés 2007. március 12-én, a lengyel Szejm március 16-án nyilvánította határozatban ünnepnapnak március 23-át, a lengyel-magyar barátság napját.

Lech Kaczynski lengyel és Sólyom László magyar elnök 2006. március 24-én aláírták a Győri nyilatkozatot, valamint felavatták a lengyel-magyar barátság első köztéri emlékművét. A magyar Országgyűlés 2007. március 12-én, a lengyel Szejm március 16-án nyilvánította határozatban ünnepnapnak március 23-át, a lengyel-magyar barátság napját.

Az Eötvös Loránd Tudomány Egyetem Bölcsészettudományi Karának Fordító-és Tolmácsképző Központja 1974. március 22-én alakult. Erre emlékezve tartják minden évben március 22-én a Magyar fordítók és tolmácsolók napját. Mindkét szakmábanalapvető fontosságú a perfekt nyelvtudás, de míg a szinkrontolmácsolás gyors reakciót, jó beszédkészséget igényel, a műfordítás már inkább művészi tevékenység, mely érzékenységen, a stílus érzékeltetésén alapul.
Az Eötvös Loránd Tudomány Egyetem Bölcsészettudományi Karának Fordító-és Tolmácsképző Központja 1974. március 22-én alakult. Erre emlékezve tartják minden évben március 22-én a Magyar fordítók és tolmácsolók napját. Mindkét szakmábanalapvető fontosságú a perfekt nyelvtudás, de míg a szinkrontolmácsolás gyors reakciót, jó beszédkészséget igényel, a műfordítás már inkább művészi tevékenység, mely érzékenységen, a stílus érzékeltetésén alapul.

Az Eötvös Loránd Tudomány Egyetem Bölcsészettudományi Karának Fordító-és Tolmácsképző Központja 1974. március 22-én alakult. Erre emlékezve tartják minden évben március 22-én a Magyar fordítók és tolmácsolók napját. Mindkét szakmábanalapvető fontosságú a perfekt nyelvtudás, de míg a szinkrontolmácsolás gyors reakciót, jó beszédkészséget igényel, a műfordítás már inkább művészi tevékenység, mely érzékenységen, a stílus érzékeltetésén alapul.

A Down-szindróma világnapja: március 21. Világszerte fontosnak tartják, hogy a világnapon keresztül felhívják a figyelmet az e fogyatékossággal élők problémáira, az elfogadásra és a bennük rejlő lehetőségekre. A tünetegyöttest a 19. században írta le John Langdon Down, angol orvos, akit az 1866-ban kiadott tudományos munkájának köszönhetően a Down-szindróma „keresztapjának` tekintenek.
A Down-szindróma világnapja: március 21. Világszerte fontosnak tartják, hogy a világnapon keresztül felhívják a figyelmet az e fogyatékossággal élők problémáira, az elfogadásra és a bennük rejlő lehetőségekre. A tünetegyöttest a 19. században írta le John Langdon Down, angol orvos, akit az 1866-ban kiadott tudományos munkájának köszönhetően a Down-szindróma „keresztapjának` tekintenek.

A Down-szindróma világnapja: március 21. Világszerte fontosnak tartják, hogy a világnapon keresztül felhívják a figyelmet az e fogyatékossággal élők problémáira, az elfogadásra és a bennük rejlő lehetőségekre. A tünetegyöttest a 19. században írta le John Langdon Down, angol orvos, akit az 1866-ban kiadott tudományos munkájának köszönhetően a Down-szindróma „keresztapjának` tekintenek.

A tavaszi napéjegyenlőség napjára, március 21-ére eső jeles nap célja, hogy népszerűsítse a globális tudatosságot, annak átérzését, hogy az emberiség egy fajt képez, és minden népnek egyenlő joga van a boldogsághoz és a boldoguláshoz. Az emberiség közös felelősségtudatának erősítését célul tűző Budapest Klub Alapítvány 2001. március 21-én rendezte meg első ízben a Planetáris Tudat Világnap fesztivált Magyarországon.
A tavaszi napéjegyenlőség napjára, március 21-ére eső jeles nap célja, hogy népszerűsítse a globális tudatosságot, annak átérzését, hogy az emberiség egy fajt képez, és minden népnek egyenlő joga van a boldogsághoz és a boldoguláshoz. Az emberiség közös felelősségtudatának erősítését célul tűző Budapest Klub Alapítvány 2001. március 21-én rendezte meg első ízben a Planetáris Tudat Világnap fesztivált Magyarországon.

A tavaszi napéjegyenlőség napjára, március 21-ére eső jeles nap célja, hogy népszerűsítse a globális tudatosságot, annak átérzését, hogy az emberiség egy fajt képez, és minden népnek egyenlő joga van a boldogsághoz és a boldoguláshoz. Az emberiség közös felelősségtudatának erősítését célul tűző Budapest Klub Alapítvány 2001. március 21-én rendezte meg első ízben a Planetáris Tudat Világnap fesztivált Magyarországon.

Az ENSZ Közgyűlése 1966. október 26-án jelölte ki az antirasszista nap időpontját, március 21-ét annak emlékére, hogy 1960-ban a dél-afrikai rendőrség Sharpeville-ben ezen a napon ölt meg 69 embert egy, az apartheid rezsim által hozott, a nem fehér lakosság mozgását korlátozó törvény elleni békés tüntetés során.
Az ENSZ Közgyűlése 1966. október 26-án jelölte ki az antirasszista nap időpontját, március 21-ét annak emlékére, hogy 1960-ban a dél-afrikai rendőrség Sharpeville-ben ezen a napon ölt meg 69 embert egy, az apartheid rezsim által hozott, a nem fehér lakosság mozgását korlátozó törvény elleni békés tüntetés során.

Az ENSZ Közgyűlése 1966. október 26-án jelölte ki az antirasszista nap időpontját, március 21-ét annak emlékére, hogy 1960-ban a dél-afrikai rendőrség Sharpeville-ben ezen a napon ölt meg 69 embert egy, az apartheid rezsim által hozott, a nem fehér lakosság mozgását korlátozó törvény elleni békés tüntetés során.

Március 20-a A verebek világnapja. Szegény kis verebek a szürkeség megtestesítői, hiszen parányiak is, jelentéktelenek is, és eddig úgy tudtuk, hogy sokan vannak, az egyes madárkák eltűnnek a tömegben. Világnapjuk azonban arra hívja fel a figyelmet, hogy fogyatkoznak, és a faj védelme szükségessé vált szűkebb környezetünk biodiverzitásának védelme kapcsán. A verebek világnapját először 2010-ben rendezték meg az Indiai Természettudományos Társaság kezdeményezésére az ismert okból, miszerint erősen fogy az egyedszámuk.
Március 20-a A verebek világnapja. Szegény kis verebek a szürkeség megtestesítői, hiszen parányiak is, jelentéktelenek is, és eddig úgy tudtuk, hogy sokan vannak, az egyes madárkák eltűnnek a tömegben. Világnapjuk azonban arra hívja fel a figyelmet, hogy fogyatkoznak, és a faj védelme szükségessé vált szűkebb környezetünk biodiverzitásának védelme kapcsán. A verebek világnapját először 2010-ben rendezték meg az Indiai Természettudományos Társaság kezdeményezésére az ismert okból, miszerint erősen fogy az egyedszámuk.

Március 20-a A verebek világnapja. Szegény kis verebek a szürkeség megtestesítői, hiszen parányiak is, jelentéktelenek is, és eddig úgy tudtuk, hogy sokan vannak, az egyes madárkák eltűnnek a tömegben. Világnapjuk azonban arra hívja fel a figyelmet, hogy fogyatkoznak, és a faj védelme szükségessé vált szűkebb környezetünk biodiverzitásának védelme kapcsán. A verebek világnapját először 2010-ben rendezték meg az Indiai Természettudományos Társaság kezdeményezésére az ismert okból, miszerint erősen fogy az egyedszámuk.

2024-ben is színes programokkal vár egész évben Siófok! A Balaton parti város változatos kulturális és családi rendezvényeket, aktív kikapcsolódási lehetőségek széles kínálatát, gasztronómiai különlegességeket és ezernyi élményt kínál 2024-ben. A tavalyi évet rekord – közel 1,5 millió - vendégéjszaka számmal záró Siófok 2023-ban az első számú belföldi vidéki utazási célpont volt.
2024-ben is színes programokkal vár egész évben Siófok! A Balaton parti város változatos kulturális és családi rendezvényeket, aktív kikapcsolódási lehetőségek széles kínálatát, gasztronómiai különlegességeket és ezernyi élményt kínál 2024-ben. A tavalyi évet rekord – közel 1,5 millió - vendégéjszaka számmal záró Siófok 2023-ban az első számú belföldi vidéki utazási célpont volt.

2024-ben is színes programokkal vár egész évben Siófok! A Balaton parti város változatos kulturális és családi rendezvényeket, aktív kikapcsolódási lehetőségek széles kínálatát, gasztronómiai különlegességeket és ezernyi élményt kínál 2024-ben. A tavalyi évet rekord – közel 1,5 millió - vendégéjszaka számmal záró Siófok 2023-ban az első számú belföldi vidéki utazási célpont volt.

Az alvás egy olyan létfontosságú állapot, amelynek során az elme és a test regenerálódik és feltöltődik. Az egészséges és boldog élet kulcsa a jó alvás – az alvás világnapjának jelszava szerint. Az Egyesült Államokból indult kezdeményezés célja, hogy az életminőség szempontjából hívja fel a figyelmet az alvás fontosságára, mert a tartós alváshiány veszélyezteti mentális egészségünket, immunrendszerünket, érzelmi életünket, és betegségek, valamint közlekedési balesetek előidézője is lehet.
Az alvás egy olyan létfontosságú állapot, amelynek során az elme és a test regenerálódik és feltöltődik. Az egészséges és boldog élet kulcsa a jó alvás – az alvás világnapjának jelszava szerint. Az Egyesült Államokból indult kezdeményezés célja, hogy az életminőség szempontjából hívja fel a figyelmet az alvás fontosságára, mert a tartós alváshiány veszélyezteti mentális egészségünket, immunrendszerünket, érzelmi életünket, és betegségek, valamint közlekedési balesetek előidézője is lehet.

Az alvás egy olyan létfontosságú állapot, amelynek során az elme és a test regenerálódik és feltöltődik. Az egészséges és boldog élet kulcsa a jó alvás – az alvás világnapjának jelszava szerint. Az Egyesült Államokból indult kezdeményezés célja, hogy az életminőség szempontjából hívja fel a figyelmet az alvás fontosságára, mert a tartós alváshiány veszélyezteti mentális egészségünket, immunrendszerünket, érzelmi életünket, és betegségek, valamint közlekedési balesetek előidézője is lehet.